Case Study: 62-Year-Old Female with Calf Pain and Swelling

Clinical Presentation

A 62-year-old female presented with two weeks of left calf tenderness and swelling (Figs. 1 and 2). She reported acute medial calf pain that began suddenly while walking and worsened with dorsiflexion.

Fig. 1

Fig. 2

Diagnostic Steps

Ultrasound Findings:

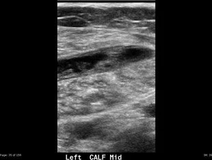
  • Linear collection of fluid and echogenic material separating the superficial gastrocnemius muscle (G in Figs. 3 and 4) from the deeper soleus muscle (S in Figs. 3 and 4).

  • Comparison to the normal tendon anatomy (arrows in Figs. 5 and 6) shows significant disruption at the expected location of the plantaris tendon.

Fig. 3

Fig. 4

Fig. 5

Fig. 6

Differential Diagnosis

Possible conditions include:

  • Gastrocnemius muscle tear

  • Soleus muscle tear

  • Dissecting or ruptured Baker cyst

Final Diagnosis - Plantaris Tendon Rupture

Key Teaching Points

  1. Anatomy and Incidence:

    • The plantaris tendon lies between the medial gastrocnemius and soleus muscles.

    • Approximately 10% of individuals lack one or both plantaris tendons.

  2. Mechanism of Injury:

    • Tears typically occur during activities involving sudden acceleration or deceleration, such as running or jumping.

    • Frequently referred to as "tennis leg."

    • Can occur in isolation or alongside other injuries, such as gastrocnemius, soleus, or ACL tears.

  3. Clinical Features:

    • Patients often describe a "pop" during activity, such as stepping off a curb or lunging.

    • Acute medial calf pain, swelling, and exacerbation of pain with dorsiflexion are common.

    • Can mimic deep venous thrombosis or muscle tear/sprain

  4. US Findings:

    • The normal plantaris tendon appears as a slender, echogenic structure with a distinct fibrillar pattern, running between the bellies of the gastrocnemius and soleus muscles.

    • In the event of a complete tear, the plantaris muscle retracts proximally, leaving the torn tendon tract filled with fluid or hematoma. This results in a linear, tubular, heterogeneous fluid collection located between the gastrocnemius muscle anteriorly and the soleus muscle posteriorly.

  5. Differential Imaging Features:

    • Tears of the gastrocnemius or soleus muscles present as hypoechoic, heterogeneous areas that disrupt the normal pennate sonographic architecture of the muscle.

    • In this case, the abnormality is specifically situated at the interface between the gastrocnemius and soleus muscles.

    • A dissected or ruptured Baker's cyst, by contrast, typically appears as a tear-shaped, heterogeneous fluid collection located superficially to the gastrocnemius muscle.

  6. Management:

    • Treatment is primarily conservative.

    • Active stretching exercises should be avoided, as they may worsen the tear.

 

Reference

Scoutt LM, Hamper UM, Angtuaco TL, Scoutt LM, Hamper UM, Angtuaco TL, eds. Case 145. In: Ultrasound. Oxford University Press; 2016:0. doi:10.1093/med/9780199988105.003.0145

Previous
Previous

Case Study: 43-Year-Old Male with Acute Ankle Pain

Next
Next

MSK Ultrasound in OEM